Taurine for Skin Health, Longevity and More by Deborah Tosline

Age-related decline in the taurine content of the skin in rodents, Tomohisa, Y. et al, Amino Acids (2021) 53:429–434, https://doi.org/10.1007/s00726-021-02956-2

Deborah Tosline wrote and published “Skin Remodeling DIY: An Introduction to the Underground World of Do-It-Yourself Skincare” in 2015. Her approach to skin care is based on a scientific background, love of research and over 40 years of DIY skincare experience.

When a substance, protocol, or lifestyle promotes longevity, you can bet that it will benefit the skin. Our internal condition is expressed on the skin which can show evidence of internal health imbalances. The best way to improve skin conditions is from the inside. You already know how to optimize your health; do you choose yourself on a daily basis? Most folks don’t prioritize their health until an issue arises. Just as the skin shows evidence of illness, it also shows and glows when our internal health is balanced. Recently, I began taking taurine for tinnitus and soon learned that it is an amazing supplement for skin and health as well. Taurine supplementation has been found to promote skin hydration from within.

The skin is our largest organ. It consists of the epidermis, dermis and subcutaneous fat tissue. The skin provides a barrier that helps the body maintain homeostasis or balance.

https://commons.wikimedia.org/wiki/File:3D_medical_animation_skin_layers.jpg, https://www.scientificanimations.com/, CC BY-SA 4.0 <https://creativecommons.org/licenses/by-sa/4.0>, via Wikimedia Commons

The epidermis consists of natural moisturizing factors (NMF) including ceramides, cholesterol, free fatty acids and mineral salts which support the exterior stratum corneum. The dermis contains an extracellular matrix (ECM) which is comprised of collagen, elastic fibers and hyaluronic acid (HA). Over time, the dermis ECM content declines, resulting in a loss of elasticity and volume leading to skin wrinkles.

Good skin quality is not only beautiful, it is healthful. Studies have shown that a youthful appearance corresponds to inner health. One study that followed thousands of adult men showed that the men who looked particularly older than their age had passed away 20 years later; the study did not specify the age of men. A more recent study showed that 99% of the participants who looked 10 years older than their age had health problems.

Surprisingly, studies have shown that while poor internal health impacts the skins appearance, poor skin health and its associated inflammation can worsen internal health.

One way to feed the skin from within is by consuming taurine. I continuously investigate new protocols or nutraceuticals to assess whether it may be beneficial to update my routine. Sometimes I intentionally research natural remedies, sometimes I accidently learn new and interesting information and sometimes my YouTube feed is a resource!  

I began supplementing with taurine after watching a YouTube video by Dr. Mandell regarding the use of taurine to treat tinnitus.


Molécula de la taurina, https://commons.wikimedia.org/wiki/File:Taurine-3D-balls.png#file

Taurine is a sulfur-containing, non-essential amino acid that is pervasive throughout the body, it is not used to synthesize protein so it is considered to be non- or conditionally essential.

Research shows that taurine:

  • contains antioxidants

  • is anti-inflammatory

  • provides protein-stabilizing and calcium-regulating actions

  • supports hyaluronic acid synthesis

  • regulates osmotic pressure and fluid movement in skin cells

  • helps to protect and maintain skin balance

  • protects skin from sun exposure

  • promotes skin homeostasis

Notably, taurine is the primary amino acid located in the epidermis. Importantly, it is associated with regulating the moisture content of the skin. It is not known how taurine functions.

Research has shown that taurine benefits skin health in several ways:

  • improves ultraviolet light damage and associated wrinkles

  • increases cell volume to plump skin and reduce the appearance of wrinkles

  • increases collagen and osteoblast-like synthesis to stimulate wound healing

  • supports the skin’s ECM and collagen 

The body naturally produces taurine. Taurine is found in meat, seafood and dairy and is not present in plant-based foods. Studies show that vegetarians naturally produce a sufficient amount of taurine.

Personal anecdotal stories from folks who supplement with taurine indicate that whether you are a vegetarian or a meat eater, taurine supplementation appears to be beneficial.

https://commons.wikimedia.org/wiki/File:Energy_drinks_(45597924825).jpg, Jorge Franganillo, CC BY 2.0 <https://creativecommons.org/licenses/by/2.0>, via Wikimedia Commons

Sources of taurine:

  • the body produces taurine

  • red algae – sea weed

  • supplementation

  • energy drinks

The body produces taurine during times of stress. Taurine is involved with important body functions including:

  • the heart, brain and immune system

  • nerve growth

  • proper hydration

  • bile salt production to help in digestion

  • regulates minerals mineral regulation

  • supports the general function of your nervous system, vision and eyes

Before supplementing with taurine, speak with your health care provider. Taurine may interfere with some medications. Consuming three grams of taurine per day is considered safe.

The following taurine health benefits have been demonstrated:

  • Helps to maintain hydration or electrolyte balances in the skin and hair.

  • Forms bile salts in the liver to break down fatty acids including tryglycerides and cholesterol

  • Regulates mineral levels (specifically calcium) in certain kinds of cells.

  • Supports the central nervous system.

  • Protects the brain from aging and some neurological conditions.

  • Taurine is concentrated in the retinas and may protect the eyes from disease. Is concentrated in the retinas and may protect eyes from disease.

  • Its antioxidant content reduces inflammation and oxidative stress and supports the immune system.

Further research is needed but supplementing with Taurine may:

  • Improve heart function via blood pressure regulation to prevent heart disease.

  • Help regulate blood triglycerides and cholesterol levels.

  • Enhance insulin utilization and improve blood sugar management.

  • Increase oxygen uptake.

  • Improve exercise performance, reduce muscle damage, and improve recovery and strength.

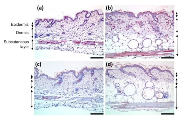
Representative histologi- cal images of immunostaining for taurine in the skin. The skin sections of 6-week-old (a) and 24-week-old mice (b) were stained with hematoxylin eosin (HE) and anti-taurine antibody. Taurine was stained red. Bar 300 μm. The corresponding negative control sections are shown in (c) and (d). Tomohisa, Y. et al, Amino Acids (2021) 53:429–434, https://doi.org/10.1007/s00726-021-02956-2

Ethical animal studies show that the taurine content in the skin of mice and rats significantly declines with age. When the mice were supplemented with powdered taurine in water at a 3% concentration over 4 weeks, the taurine content in their epidermis increased. Taurine content in the dermis did not increase.

Taurine use in skin research was reported in 2003 and showed that topical application of taurine increased the moisture content of the skin. The study also showed that taurine is involved with photo protection of the skin.

Topical application of taurine may help to improve skin hydration and the appearance of the skin. A DIY taurine serum may be made using 0.1–1% of pure taurine. Powdered taurine (aka oxothiazolidine) is mixed with water to make the serum.

As I mentioned in the introduction, I began using taurine to potentially reduce the incessant ringing in my ears and to promote ear health. As I began to read about taurine, I was consumed with YouTube summaries of taurine research. The taurine longevity research showed a 10 to 12% increase in mice life spans. To me, this translates to healthy internal organs and tissues and likewise, healthy skin.

I began drinking 1 gram of taurine in water twice a day about 3 weeks ago. I increased my dosage to 3 grams per day about 1 week ago. Taurine powder dissolves easily in water and is tasteless.

Deborah’s Short-Term Anecdotal Results

One day I was standing in the kitchen pondering my to-do list. I paused; it was oddly quiet. I usually experience overwhelming tinnitus in quiet moments, but the ringing was subdued. The ringing was and is still there, but there is a reduction. In that moment, I had forgotten about my taurine supplementation and was pleasantly surprised.

The next thing that I noticed was that my skin was smoother and less dry. In the past six months, I’ve combatted dry, aged skin using castor oil and DIY body butter, but have had trouble moisturizing the decades upon decades of Arizona’s Sonoran Desert dryness out of my skin.

https://commons.wikimedia.org/wiki/File:Magnificent_CME_Erupts_on_the_Sun_-_August_31.jpg, NASA Goddard Space Flight Center, CC BY 2.0 <https://creativecommons.org/licenses/by/2.0>, via Wikimedia Commons

One day I ran my hand along my leg and wondered at my noticeably moisturized skin. I looked down, and it looked surprisingly smooth. I thought about my recent lifestyle changes. I had added taurine, glycine and N-Acetyl-Cysteine to my daily supplementation routine. The skin changes could have been from any or all 3 supplements; I did not know. While researching publications for this article I learned that taurine is the primary amino acid in the epidermis! What! This is wonderful knowledge for a skin care enthusiast! I am now convinced that the noticeable increase in hydration and improvement in my skin quality is due to 3 weeks of taurine supplementation. If I continue to see improvements, I will take photos for a future follow-up article. In the meantime, I am pleased with my anecdotal results!

I am excited for the potential to rehydrate my skin via taurine in addition to my other DIY skin care maintenance methods. At this time, I alternate between 2 and 3 grams of taurine each day. I consistently periodically take breaks from supplementation and will do the same with taurine.

After my research for this article, I am excited to try the DIY taurine serum and add it to my skin care regimen. Making a DIY serum is cost effective and allows me to use them on my face, neck and body.

If you need more DIY skin care information, check out the local library, search the Internet, or check out my past blog articles. It would be an honor to me if you purchased my skin care book. Thank you!

Take good care of yourselves!

XO Deborah

This article is intended to be used as general information only and is in no way intended to replace medical advice, be used as a medical treatment program, diagnosis, or cure of any disease or medical condition. There are no warranties, expressed or implied, regarding the effectiveness of the practices described in this article. Products or substances discussed herein are for educational purposes only and are not intended as recommendations of the author.